Address: 2305 Brown Ave Manchester NH 03103
Looking To Replace An Entire Jaw Of Implants With Full Arch Implants In Manchester?
Looking To Replace An Entire Jaw Of Implants With
Full Arch Implants In Manchester?
#1 Full Arch Dental Implants Office In Manchester With 850 Plus 5 Star Reviews
At Manchester Advanced Dental, We have helped several 1000s of patients in and around Manchester and the surrounding community. We are proud to have successfully restored so many patients' missing teeth and their ability to eat, speak, and enjoy their life with the same confidence as with their natural teeth.

(Includes Exam, Consultation and CT Scan)
If you ever wanted to replace missing teeth, but have so many unanswered questions, then, schedule Complementary consultation and get all your questions answered.
This Is A Limited Time Offer. Claim Your Complementary consultation Now!
Why Choose Us?
• Top Rated Full Arch Office In Manchester
• Serving Both Manchester & Nearby Area
• Serving 1000s of Manchester Families
• 850 Plus 5 Star Reviews On Google
• High Quality & Affordable Dentistry
• Highly Trained Dental Professionals
• Modern, High Quality Equipments
• Friendly & Helpful Staff
• Customized Individual Treatments
• Various Financing Options
Top Rated Full Arch Office In Manchester
Serving Manchester & Nearby Areas
Serving 1000s of Manchester Families
850 Plus 5 Star Reviews On Google
High Quality & Affordable Dentistry
Highly Trained Dental Professionals
Modern, High Quality Equipments
Friendly & Helpful Staff
Customized Individual Treatments
Various Financing Options
What To Expect At Your Full Arch Implant Consultation?
You will meet with our doctor for a comprehensive Full Arch exam. During this exam, we will discuss the following:

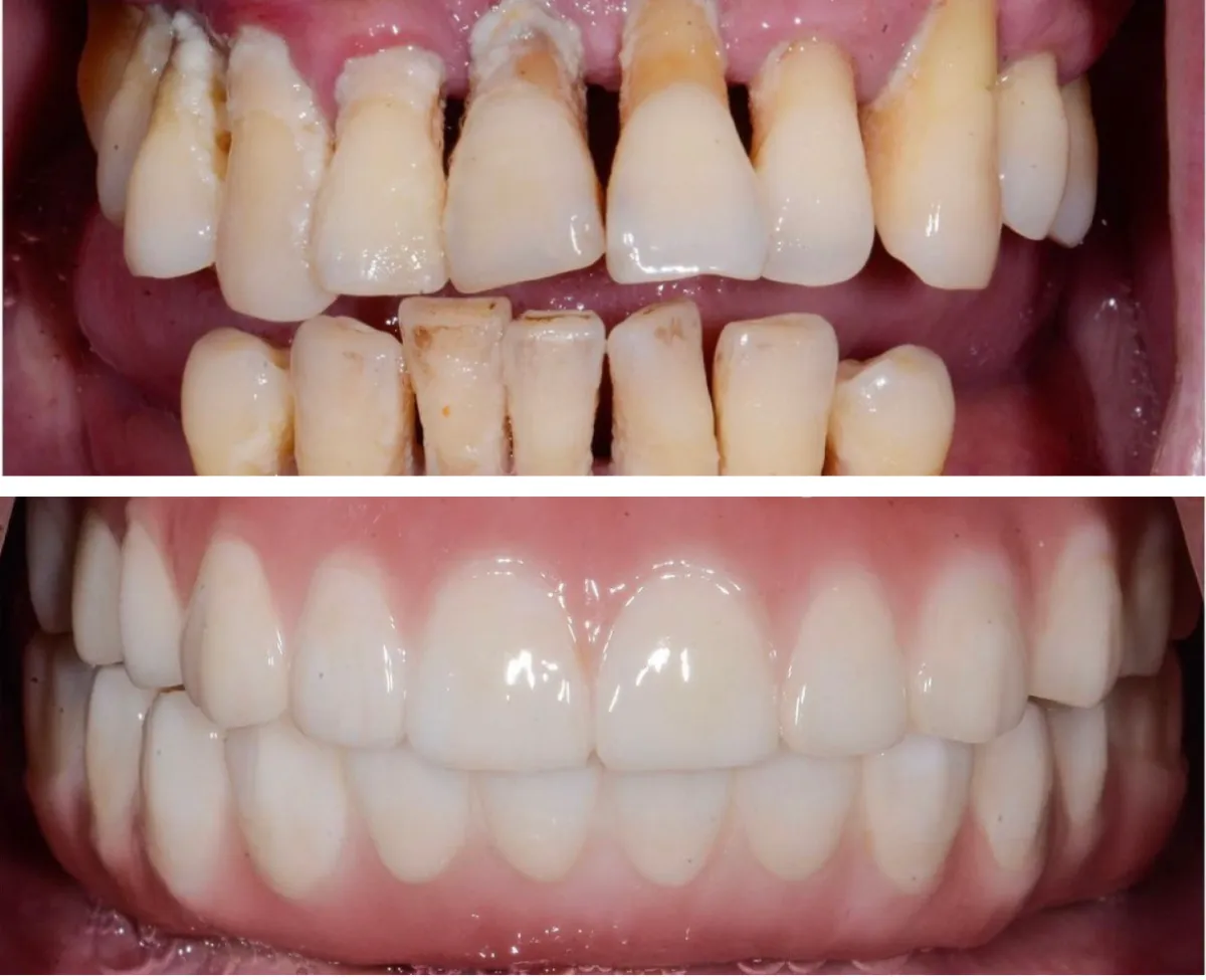
Real Patients. Real Results*
Transform your smile. Enjoy the results for the rest of your life.
*individual results may vary


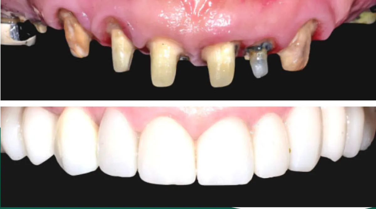
Real Patients. Real Results*
Transform your smile. Enjoy the results for the rest of your life.
*individual results may vary
Before and After Result of Patient 1

Before and After Result of Patient 2

What Are Full Arch Dental Implants?

Full arch dental implants are a life-changing solution for people who are missing most or all of their teeth on the upper or lower jaw.
Instead of replacing each tooth with a separate implant, a full arch procedure uses just 4 to 6 implants to support a brand-new set of teeth — fixed securely in place, natural-looking, and designed to restore your confidence, comfort, and ability to eat what you love.
Unlike removable dentures, full arch implants are fixed in place, feel more natural, and don’t slip or shift when you talk or eat. They’re built to last — and give you the function and aesthetics of real teeth.
Full Arch Implants vs Traditional Dentures

Are You a Candidate for Full Arch Dental Implants?
If you’re struggling with missing or failing teeth, or frustrated with loose dentures, you may be a great candidate for full arch dental implants.
Take a quick look at the checklist below — do any of these sound like you?
• You’re missing most or all of your teeth on the upper or lower jaw
• You’re wearing dentures that feel loose, uncomfortable, or unreliable
• You have severely damaged or decayed teeth that are beyond saving
• You avoid smiling, chewing certain foods, or social situations
• You’re looking for a permanent solution that looks and feels like real teeth
• You want to improve your confidence, comfort, and quality of life
Not sure if you're a candidate? Schedule a Complementary consultation to find out.
What to Expect – Your Full Arch Journey in 4 Simple Steps
We understand that getting dental implants is a big decision — that’s why we’ve made the process as smooth, clear, and supportive as possible from start to finish.
• Step 1: Consultation & 3D Scan: We start with a friendly, no-pressure consultation. We’ll listen to your concerns, take a 3D scan, and determine if you’re a good candidate for full arch implants.
• Step 2: Personalized Treatment Plan: Based on your needs, goals, and scan results, we’ll create a custom treatment plan — including a clear breakdown of your timeline, costs, and available financing options.
• Step 3: Implant Placement & Temporary Smile: On the day of your procedure, your implants are placed and you’ll leave with a beautiful, secure temporary set of teeth — so you never go without a smile.
• Step 4: Final Smile Delivery: After healing (typically 3–6 months), we’ll place your permanent custom-designed teeth. The result? A strong, confident smile that looks and feels like the real thing — or better.

We're With You Every Step of the Way

We understand that dental implants are a significant investment and we’re committed to making it manageable for every budget. That's why we offer, affordable payment plans starting as low as
$290/month*
*Note: We offer flexible monthly payment options through third-party partners. Most patients get an instant decision with a soft credit check. If needed, applying with a co-signer can improve approval chances.
Restore Your Smiles Within Your Budget
Affordable Treatment & Payment Plans Are Available.
We understand that dental implants are a significant investment and we’re committed to making it manageable for every budget. That's why we offer:
• 0% interest financing options
• Low monthly payments to fit your lifestyle
• Assistance with third-party financing providers
• Support with maximizing your insurance benefits
• Transparent pricing. No surprise fees

Meet Dr. Naren Mikkilineni

Dr. Naren Mikkilineni is a board-certified dentist serving the residents of Irving, Texas. Dr. Mikkilineni and his staff offer state of the art diagnostic services and treatment techniques to patients of all ages.
He specializes in many different services and procedures, including but not limited to Invisalign®, root canals, crowns, dental implants, dental cleanings, and pediatric dentistry. Dr. Mikkilineni is fluent in English, Hindi, and Spanish.
Dr. Mikkilineni earned his Master’s Degree in Public Health while living in Florida at Florida International University, and his Doctorates in Dental Medicine at Nova South Eastern University. He specializes in both general and cosmetic dentistry and offers a wide variety of procedures at his office.
Dr. Mikkilineni is board certified in both Texas and Florida. He is an active member of several professional organizations including the American Association of Implant Dentistry and the Academy of General Dentistry.
Dr. Mikkilineni stays up-to-date with the latest in technological advancements through working hand in hand with fellow dentists and attending continuing education courses when they are available.
What Our Patients Say
Take The First Step Towards Regaining Your Ability To Eat, Smile & Laugh Confidently Again. Claim Your Complementary consultation Now!
Our Address
Our Address
What Our Patients Say
About Us
Welcome to Manchester Advanced Dental! We are proud to be the primary oral health care providers to the Community of Manchester community. At the office of Dr. Yadani, we are committed to quality dental care. Schedule an appointment with us today.
Opening Hours
Monday - 9:00am – 5:00pm
Tuesday - 9:00am – 5:00pm
Wednesday - 9:00am – 5:00pm
Thursday - 9:00am – 5:00pm
Friday - 9:00am – 5:00pm
Saturday & Sunday - Closed